权威视频

直播回放

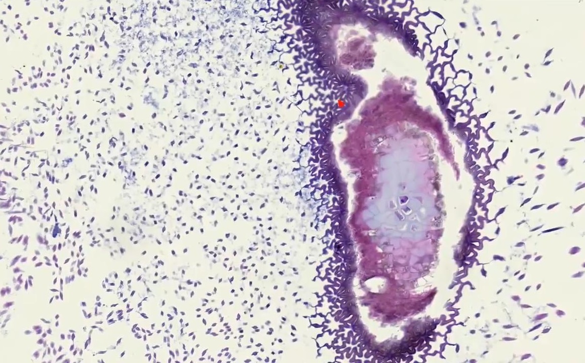
宫颈活检 表面上皮下

宫颈活检 表面上皮下假性浸润 不是癌

2019年09月26日 1928 04分13秒

右侧第10肋骨 浸润

右侧第10肋骨 浸润性多核巨细胞及单核性细胞 朗格汉斯组织细胞增多症与骨巨细胞瘤鉴别

2019年09月26日 1994 06分30秒

漫读系列 01-03

漫读系列 01-03-058 真皮(1)

2019年09月26日 2813 09分26秒

胃底部凹凸不平 活检

胃底部凹凸不平 活检 淋巴细胞中有分化差的上皮成分 低分化腺癌

2019年09月25日 1785 04分29秒

左下叶占位 穿刺 浸

左下叶占位 穿刺 浸润性异型细胞条索 腺癌 中分化

2019年09月25日 1760 03分28秒

肠镜发现粘膜息肉 活

肠镜发现粘膜息肉 活检 植物细胞与特定结构

2019年09月24日 1754 04分14秒

鼻根部 皮肤组织 鳞

鼻根部 皮肤组织 鳞状上皮浸润性生长 反向角化 鳞癌

2019年09月24日 1817 02分58秒

纵隔淋巴结穿刺 仅一

纵隔淋巴结穿刺 仅一个上皮细胞团 转移性腺癌

2019年09月23日 1762 03分39秒

低级别到高级别直至粘

低级别到高级别直至粘膜肌浸润性癌

2019年09月23日 1803 06分38秒