权威视频

直播回放

小土豆跟着农人老师学

小土豆跟着农人老师学本领-幽门息肉 大小不等扩张的腺管 表面肉芽组织形成 幼年性息肉(错构瘤性息肉)

2023年01月24日 1193 04分36秒

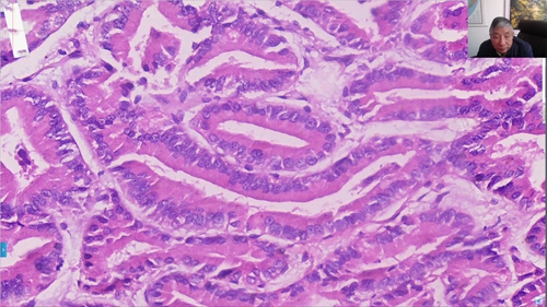
胃粘膜活检 一致性

胃粘膜活检  一致性腺管结构  腺癌  高分化

2023年01月23日 1273 02分56秒

小土豆跟着农人老师学

小土豆跟着农人老师学本领-胃肿物 腺管状结构肿瘤 腺癌 胃壁浆膜层见淋巴结转移癌

2023年01月23日 1234 06分27秒

胃粘膜活检 胃体腺

胃粘膜活检  胃体腺腺颈部间质内异型细胞  印戒细胞癌

2023年01月22日 1187 04分01秒

小土豆跟着农人老师学

小土豆跟着农人老师学本领-结肠壁外“淋巴结” 不是淋巴结是癌结节伴神经侵犯

2023年01月22日 1126 04分41秒

一场风雨后 回家过个

一场风雨后 回家过个年

2023年01月21日 1382 02分15秒

小土豆跟着农人老师学

小土豆跟着农人老师学本领-降结肠息肉 管状结构肿瘤 格子状细胞  管状腺瘤和植物细胞

2023年01月21日 1212 04分53秒

颅底肿瘤切除 碎组

颅底肿瘤切除  碎组织肿瘤  软骨粘液成分为主  进一步鉴别软骨肉瘤与软骨黏液样纤维瘤

2023年01月20日 1162 02分45秒

小土豆跟着农人老师学

小土豆跟着农人老师学本领-食道肿物 正常鳞状上皮 高级别上皮内瘤变 鳞状细胞癌

2023年01月20日 1150 07分31秒