权威视频

直播回放

强子漫读系列-01-

强子漫读系列-01-08-066-甲状腺上皮性肿瘤概述(二)

2020年06月16日 2167 08分13秒

肝占位穿刺 肝组织中

肝占位穿刺 肝组织中异型细胞团 细胞分化差 原发或转移 需要免疫组化标记与临床病史

2020年06月15日 1717 04分34秒

小土豆跟着农人老师学

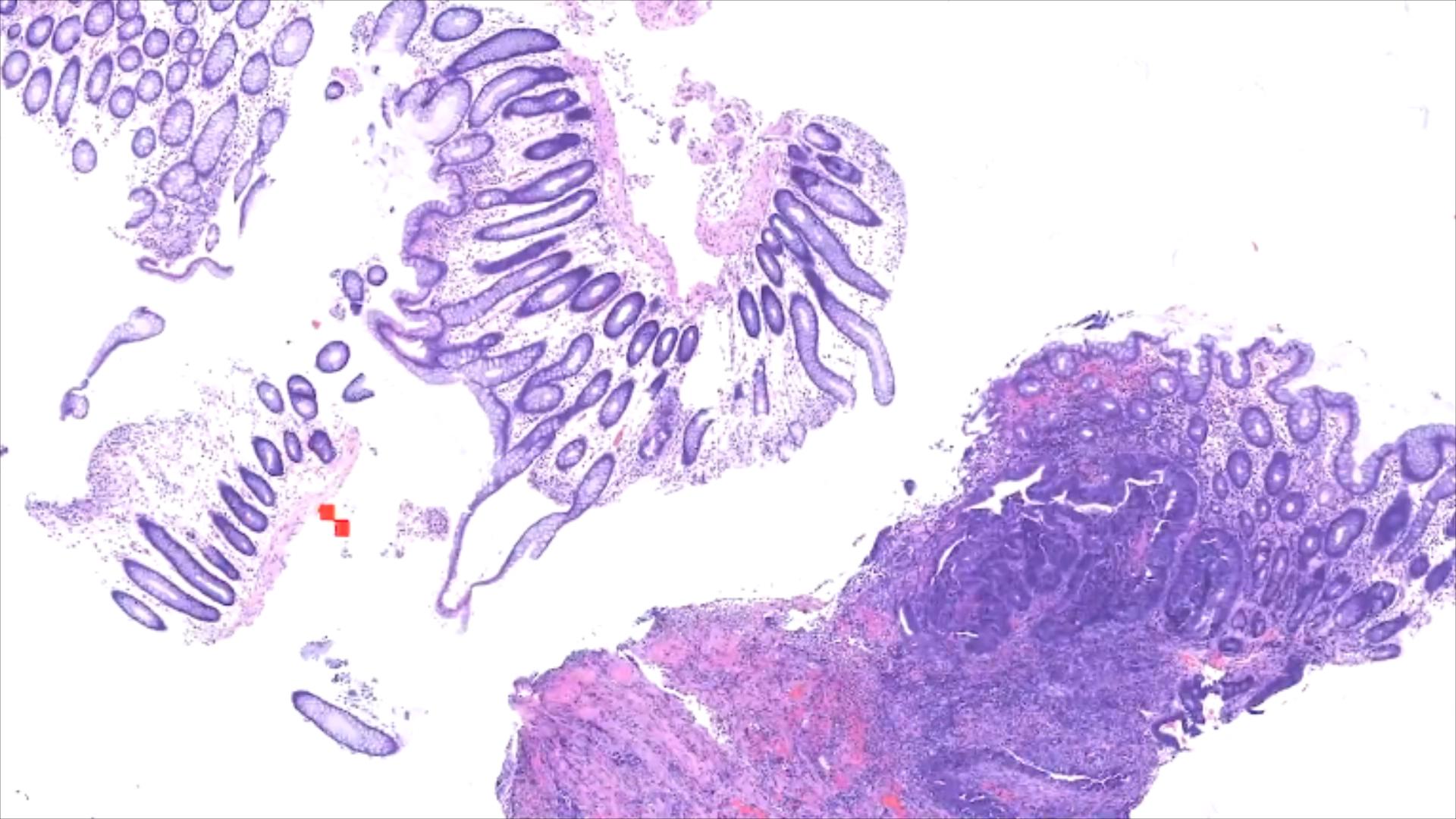
小土豆跟着农人老师学本领-结肠活检 正常的腺管 不规则的腺管 异型的细胞 腺癌

2020年06月15日 1572 05分40秒

强子漫读系列-01-

强子漫读系列-01-08-065-甲状腺上皮性肿瘤概述(一)

2020年06月15日 2227 07分59秒

肺占位穿刺 沿着肺泡

肺占位穿刺 沿着肺泡壁生长及浸润性生长 肺腺癌

2020年06月14日 1905 03分54秒

小土豆跟着农人老师学

小土豆跟着农人老师学本领-左上臂包块 不规则的岛状结构 嗜碱细胞轮廓 影细胞 钙化 骨小梁形成 钙化上皮瘤伴骨化

2020年06月14日 1649 04分43秒

强子漫读系列-01-

强子漫读系列-01-08-064-甲状腺髓样癌(六)

2020年06月14日 2228 07分15秒

宫颈活检 HPV感染

宫颈活检 HPV感染的背景上鳞状上皮肿瘤性病变 高级别 HSIL

2020年06月13日 1759 04分39秒

小土豆跟着农人老师学

小土豆跟着农人老师学本领-乙状结肠“息肉” 腺管状结构 细胞有异型性 腺瘤性增生或管状腺瘤

2020年06月13日 1577 03分12秒