权威视频

直播回放

小土豆跟着农人老师学

小土豆跟着农人老师学本领-右卵巢囊性肿物 囊壁内见裂隙样腺体  铺砖样排列的大细胞  出血及含铁血黄素沉积 子宫内膜异位症

2020年08月29日 1800 03分54秒

强子漫读系列-01-

强子漫读系列-01-10-046-肺癌概述之免疫组化(四)

2020年08月29日 2489 08分15秒

左半结肠手术 浸润性

左半结肠手术 浸润性腺管至浆膜下 癌性间质 不规则腺管 腺癌

2020年08月28日 1557 06分57秒

小土豆跟着农人老师学

小土豆跟着农人老师学本领-右肺上叶占位活检组织  多核巨细胞和类上皮细胞构成的肉芽肿性病变  首先考虑结核 不是癌

2020年08月28日 1526 02分38秒

强子漫读系列-01-

强子漫读系列-01-10-045-肺癌概述之免疫组化(三)

2020年08月28日 2421 09分02秒

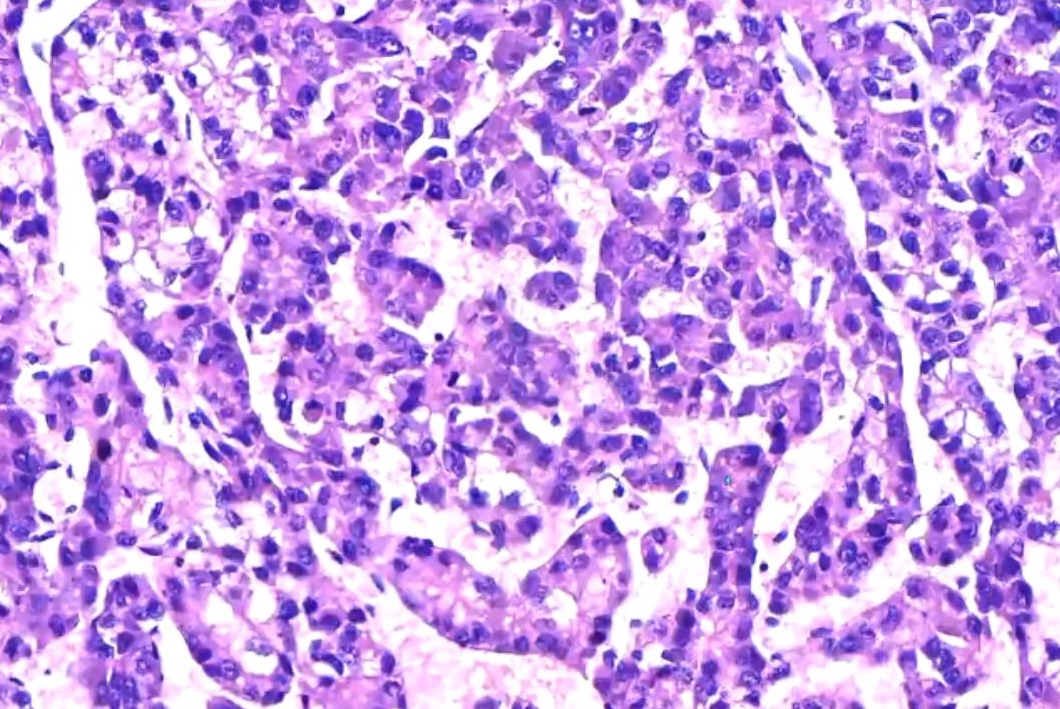
肝占位 手术切除 血

肝占位 手术切除 血窦丰富的肿瘤组织 瘤细胞产生胆色素 肝细胞肝癌 高分化

2020年08月27日 1725 04分47秒

小土豆跟着农人老师学

小土豆跟着农人老师学本领-右大腿肿物 细胞疏密不均 大小不等 梭形细胞肿瘤 神经鞘瘤 

2020年08月27日 1711 03分25秒

强子漫读系列-01-

强子漫读系列-01-10-044-肺癌概述之免疫组化(二)

2020年08月27日 2809 11分03秒

膀胱活检 乳头状结构

膀胱活检 乳头状结构肿瘤 细胞层次增多 细胞异型性 尿路上皮癌 低级别 

2020年08月26日 1704 02分41秒